Хабаровские врачи спасли руку пациенту
Один пациент, две сочетанные операции и как итог — спасенная рука В ККБ им.
Один пациент, две сочетанные операции и как итог — спасенная рука
В ККБ им. Сергеева поступила женщина с острым нарушением кровообращения в правой руке, сообщает Khabara.ru .
Из-за отсутствия кровотока на конечности проявился акроцианоз — кожные покровы приобрели синюшный цвет.
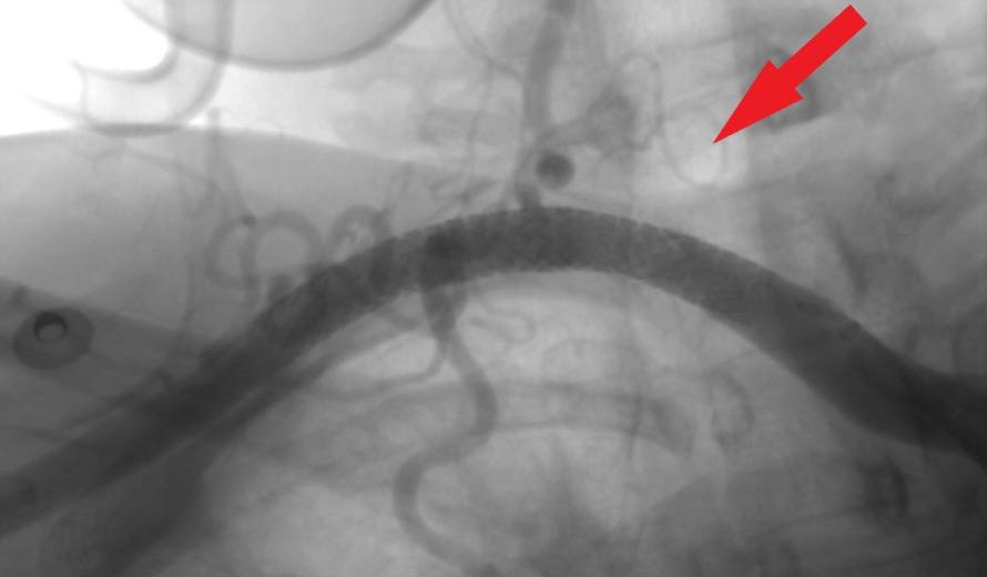
Дообследование пациентки показало серьезное поражение сразу нескольких сегментов артерий руки. Был выявлен тромбоз плечевой артерии (также артерий предплечья и артерий кисти) в сочетании со стенозом подключичной артерии.
Первым этапом пациентка попала на операционный стол к сосудистым хирургам, где ей была выполнена тромбэктомия (удален протяженный тромб) плечевой артерии.
Далее женщину перевезли в операционную рентгенэндоваскулярной хирургии, где уже с помощью раздувания небольшим баллонным катетером (2 мм) выполнено восстановление кровотока в артериях предплечья и кисти, после этого на подключичной артерии пораженной конечности была выполнена баллонная ангиопластика со стентированием (расширение сузившейся артерии с помощью специального стента).
Благодаря техническим и профессиональным возможностям, а также многофункциональности ККБ им. Сергеева рука пациентки была спасена.
При позднем обращении, а также при невозможности выполнить полное восстановление кровотока, патологическое состояние может привести к ампутация конечности.
В ККБ им. Сергеева поступила женщина с острым нарушением кровообращения в правой руке, сообщает Khabara.ru .
Из-за отсутствия кровотока на конечности проявился акроцианоз — кожные покровы приобрели синюшный цвет.
Дообследование пациентки показало серьезное поражение сразу нескольких сегментов артерий руки. Был выявлен тромбоз плечевой артерии (также артерий предплечья и артерий кисти) в сочетании со стенозом подключичной артерии.
Первым этапом пациентка попала на операционный стол к сосудистым хирургам, где ей была выполнена тромбэктомия (удален протяженный тромб) плечевой артерии.
Далее женщину перевезли в операционную рентгенэндоваскулярной хирургии, где уже с помощью раздувания небольшим баллонным катетером (2 мм) выполнено восстановление кровотока в артериях предплечья и кисти, после этого на подключичной артерии пораженной конечности была выполнена баллонная ангиопластика со стентированием (расширение сузившейся артерии с помощью специального стента).
Благодаря техническим и профессиональным возможностям, а также многофункциональности ККБ им. Сергеева рука пациентки была спасена.
При позднем обращении, а также при невозможности выполнить полное восстановление кровотока, патологическое состояние может привести к ампутация конечности.
Последние новости
Эти штуки спасают твой дом каждый день — но ты даже не знаешь, как они называются
Запорная арматура в быту: что это, как работает и почему без неё не обойтись
Мэр Хабаровска проверил работы на развязке Ленинградская — Восточное шоссе
пресс-служба администрации города В этом году здесь заменят барьерные ограждения, смонтируют новое электроосвещение, восстановят водоотведение.
Педагогический квиз устроили студенты на каникулярной школе
3 апреля 2025 года в рамках Весенней каникулярной школы «АмГПГУ», студенты группы ПОноия-55 Института педагогики и психологии,
Коррекция фиброза и возрастных изменений: когда показан эндотканевой лифтинг
Как современная технология помогает вернуть коже упругость, убрать отёки и улучшить рельеф без хирургии
На этом сайте представлены актуальные варианты, чтобы снять квартиру В Евпатории на выгодных условиях